Mission
Neurology Networks tries to offer broad exposure to various topics that may be presented on the veterinary neurology board exam.
MRI anatomy 1
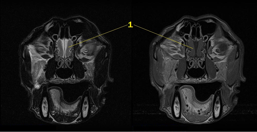
Q. Identify the structures labeled below:

A.
1. Olfactory bulb
Neurology Networks tries to offer broad exposure to various topics that may be presented on the veterinary neurology board exam.
Q. Identify the structures labeled below:

A.
1. Olfactory bulb