Mission
Neurology Networks tries to offer broad exposure to various topics that may be presented on the veterinary neurology board exam.
CT anatomy 24
CT anatomy 24
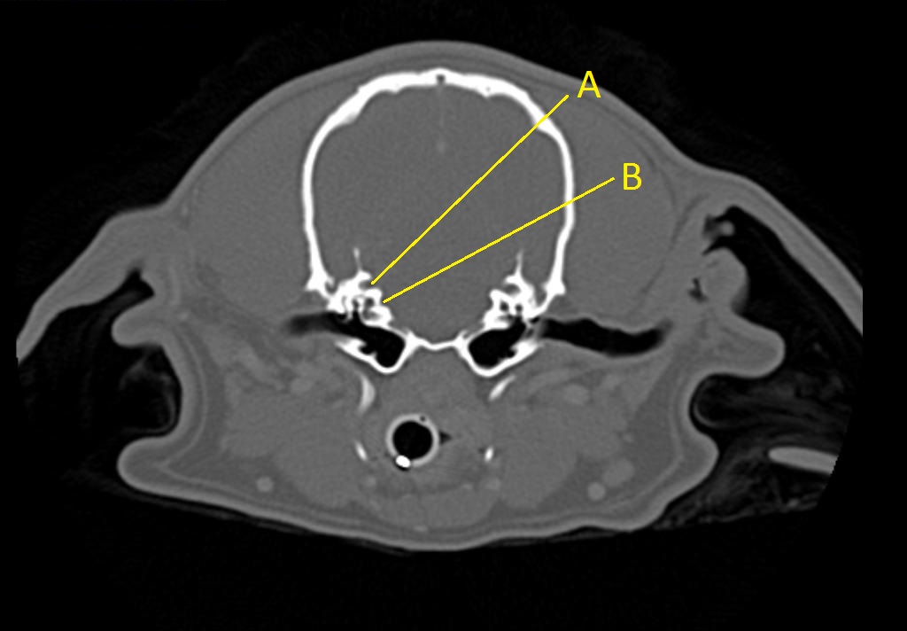
Q. Identify the structures labeled below:

A.
A. cerebellar recess
B. internal acoustic meatus