Mission
Neurology Networks tries to offer broad exposure to various topics that may be presented on the veterinary neurology board exam.
CT anatomy 23
CT anatomy 23
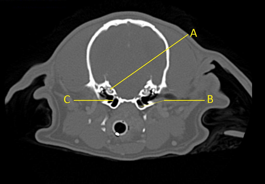
Q. Identify the structures labeled below:

A.
A. cochlea
B. tympanic membrane
C. small amount of fluid in the tympanic bulla