Mission
Neurology Networks tries to offer broad exposure to various topics that may be presented on the veterinary neurology board exam.
CT anatomy 22
CT anatomy 22
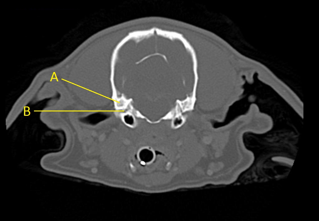
Q. Identify the structures labeled below:

A.
A. mastoid process
B. stylomastoid foramen