Mission
Neurology Networks tries to offer broad exposure to various topics that may be presented on the veterinary neurology board exam.
CT anatomy 18
CT anatomy 18
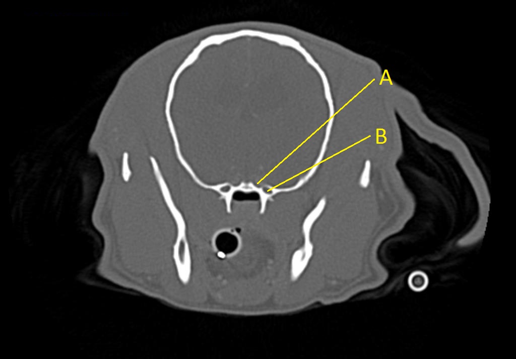
Q. Identify the structures labeled below:

A.
A. orbital fissure
B. alar canal
Neurology Networks tries to offer broad exposure to various topics that may be presented on the veterinary neurology board exam.
CT anatomy 18
Q. Identify the structures labeled below:

A.
A. orbital fissure
B. alar canal