Mission
Neurology Networks tries to offer broad exposure to various topics that may be presented on the veterinary neurology board exam.
CT anatomy 16
CT anatomy 16
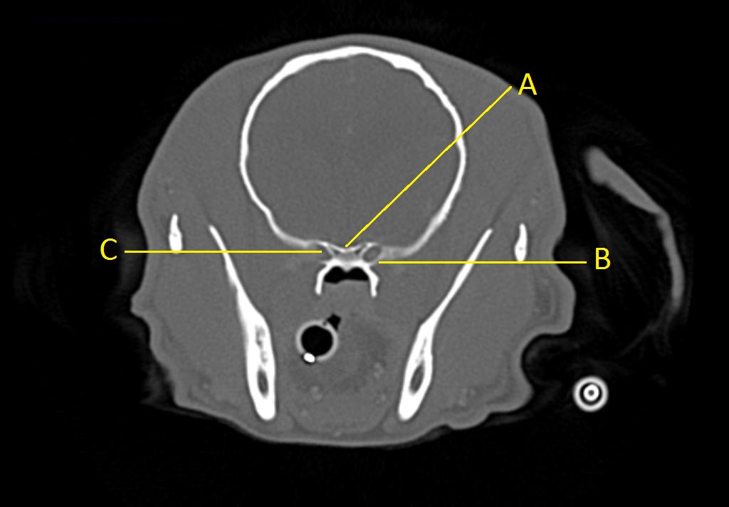
Q. Identify the structures labeled below:

A.
A. optic chiasm
B. orbital fissure
C. rostral alar foramen