Mission
Neurology Networks tries to offer broad exposure to various topics that may be presented on the veterinary neurology board exam.
CT anatomy 21
CT anatomy 21
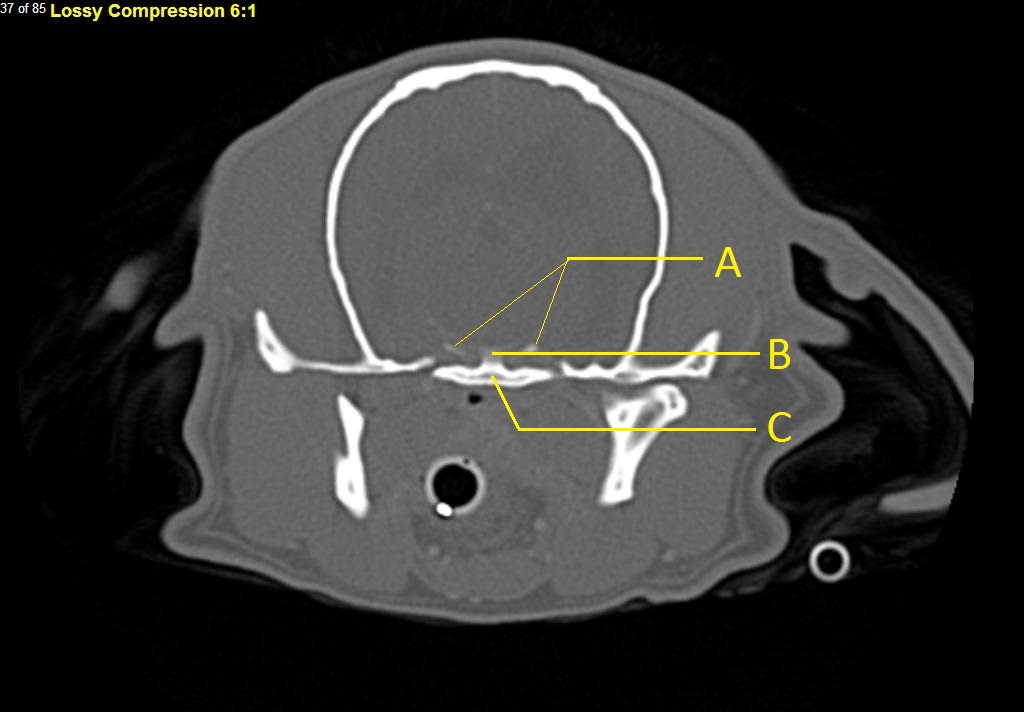
Q. Identify the structures labeled below:

A.
A. caudal clinoid process
B. dorsum sellae
C. basisphenoid bone